معلومات عن الفرق بين التهاب الحلق البكتيري والفيروسي و الاعراض المصاحبة لهم فمع تغير الفصول يحدث تغيرات في درجات الحرارة و الطقس و يصاب الكثير من الاشخاص بالانفلونزا و نزلات البرد الحادة التي تصاحبها التهابات في الحلق و الكثير من المصابين لا يستطيعوا التفرقة بين التهاب الحلق الفيروسي و البكتيري ، فسوف نتعرف على الفرق بينهم و معرفة الاعراض المصاحبة لهم و الطرق العلاجية المناسبة حسب كل حالة.
ما هو التهاب الحلق البكتيري ؟

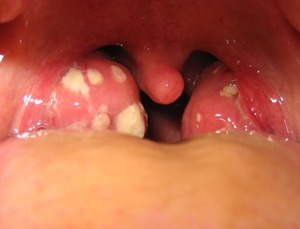
التهاب الحلق البكتيري المعروف باسم التهاب الحلق العقدي و التي تتسبب فيه البكتيريا العقدية و هي عبارة عن حالة ناتجة عن العدوى التي تنتقل من خلال شخص مصاب بالعدوى أو عن عن طريق الهواء عبر الرذاذ أو من خلال الاسطح التي يتم لمسها من قبل شخص مصاب بالعدوى ويكون علاجه عن طريق تناول مضادات حيوية تساعد في القضاء على العدوى و يتميز بوجود بقع بيضاء أو صفراء على اللوزتين و احمرار في الحلق.
ما هو التهاب الحلق الفيروسي ؟

يحدث التهاب الحلق الفيروسي نتيجة الاصابة بفيروس كنزلات البرد حيث انه يختلف تماماً عن التهاب الحلق البكتيري من حيث الاعراض و لكن لا يستخدم لعلاجه مضادات حيوية لانه لا يستجيب لها كما يحدث في العدوى البكتيرية و يظهر في شكل انتفاخ اللوزتين و احمرار سقف الحلق .
اعراض التهاب الحلق البكتيري و الفيروسي
هناك بعض الاعراض التي يشعر بها المريض في حالة الاصابة بالتهاب الحلق البكتيري و منها :
- ارتفاع شديد في درجة حرارة الجسم.
- الالتهاب المصحوب ببقع بيضاء على اللوزتين.
- الكحة مع صوت شهيق.
- الالم الشديد في الحلق.
- الالم عند البلع.
- انتفاخ اللوز واحمرارها.
- فقدان الشهية.
ينتح عن التهاب الحلق الفيروسي الاعراض التالية :
- السعال.
- احمرار العين.
- سيلان الانف.
- تورم في الحلق.
- ارتفاع في درجة حرارة الجسم.
كيف نفرق بين التهاب الحلق البكتيري والفيروسي ؟
نظرا لتشابهة اعراض كلا منهم يكون من الصعب على الطبيب تحديد الفرق بين التهاب الحلق البكتيري والفيروسي و من هذه الاعراض صعوبة البلع و الحمى وظهور بقع حمراء على سقف الفم، ولكن هناك بعض الفروق التي تساعدنا في التمييز بينهم :

في حالة وجود بقع بيضاء على الحلق فهي تدل على التهاب الحلق البكتيري، بالاخص في حالة عدم وجود اعراض اخرى.
و في حالة ملاحظة مخاط اصفر أو اخضر فهذا يدل على وجود عدوى بكتيرية فيروسية و يمكن أن تتحول العدوى الفيروسية لعدوى بكتيرية و في هذه الحالة يقوم الطبيب المعالج بوصف المضادات الحيوية.
علاج التهاب الحلق البكتيري
هناك الكثير من الطرق العلاجية لحالات التهاب الحلق البكتيري و منها :
- المضادات الحيوية التي تحتوي على المواد الفعالة البنسلين أو الأموكسيسيلين كدواء اوجمنتين.
- استنشاق البخار من جهاز ترطيب أو حمام ساخن.
- شرب السوائل لتقليل الجفاف.
علاج التهاب الحلق الفيروسي
- شرب السوائل الدافئة كالاعشاب و هذا للتخفيف من الالم و ترطيب الحلق.
- اقراص الاستحلاب التي تحتوي على مكونات مهدئة للحلق.
- الغرغرة بالماء المالح لتخفف الالتهاب.
- الراحة لدعم الجهاز المناعي.
- عدم اللجوء للمضادات الحيوية لان السبب فيروسي فالمضادات الحيوية تستخدم في حالة الالتهاب البكتيري.
التهاب الحلق عند الاطفال
يعتبر التهاب الحلق واحد من اكثر الاعراض شيوعا بين الاطفال و بعضه يحدث نتيجة الاصابة بالفيروسات كنزلات البرد و الانفلونزا و بعضها يحدث نتيجة الاصابة بالبكتيريا كبكتيريا المكورات العقدية و الناتجة عن استنشاق الهواء البارد أو حساسية الانف أو التلوث.
حيث ان علاج التهاب الحلق عند الاطفال يتطلب شرب السوائل الدافئة و الراحة مع استعمال جهاز ترطيب الهواء و هذا في حالة ان السبب كان التهاب فيروسي ، اما اذا كان الالتهاب بكتيري يقوم الطبيب المعالج بوصف مضادات حيوية للعلاج.
ادوية فعالة لعلاج التهاب الحلق
يوجد ادوية فعالة للتخفيف من اعراض التهاب و الم الحلق و تختلف باختلاف سبب الالتهاب و يتم استعمال الادوية التالية :
- ادوية تحتوي على مادة الايبوبروفين أو الباراسيتامول كدواء دوليبران و بروفين و بنادول.
- ادوية الاستحلاب المهدئة لالم الحلق مثل اقراص ستربسلز.
- استعمال المضادات الحيوية التي تحتوي على مادة الاموكسيسيلين كدواء اوجمنتين أو زيثروماكس.
ما هي الفحوصات اللازمة لتشخيص التهاب الحلق ؟
قد يعتمد الطبيب في التشخيص الاولي على الفحص البدني و قد يلجأ الي عمل مسحه الحلق السريعة لكي يكشف عن البكتيريا المتسببة في الالتهاب و قد يلجا لعمل مزرعة الحلق للتأكد من الاصابة البكتيرية.
و في بعض الحالات يكون الالتهاب ناتج عن عدوى فيروسية كداء كثرة الوحيدات الناتج عن الناتج عن فيروس ابشتاين بار و لذلك يطلب الطبيب فحص للدم ليكشف عن الاجسام المضادة للفيروس.
مشروبات ساخنة تخفف من التهاب الحلق
اليك بعض المشروبات الطبيعية الفعالة في التخفيف من الم و التهاب الحلق ، فانها تعمل على ترطيب الحلق و تهدئة الالتهاب و تقوية المناعة :

- الماء الدافئ مع العسل والليمون حيث ان الليمون يساعد على تقوية المناعة بفضل فيتامين ج و العسل يرطب الحلق و يهدئة.
- الشوربة الدافئة كشوربة الخضروات أو شوربة الدجاج للمساعدة على تنظيف مجرى التنفس.
- شاي بالجنزبيل مشروب مضاد للالتهابات والبكتيريا يساعد على تخفيف الالم.
- شاي بالقرفة له خصائص مضادة للاكسدة و البكتيريا و الالتهاب.
علاجات منزلية اخرى لتخفيف الم الحلق

- الغرغرة بالماء المالح و هو عبارة عن محلول مكون من ربع ملعقة صغيرة من الملح في 225 مل من الماء الدافئ.
- الراحة مهمة حيث ان الحصول على على قسط كافي من الراحة يخفف من يهدي من الالم.
- اشرب كميات كبيرة من السوائل مثل الماء والشوربة و الشاي بالعسل.
- استعمال اقراص الاستحلاب التي تحتوي على مواد مهدئة لتخفيف الالم.
- الابتعاد عن المشروبات و الاطعمة الحامضة التي قد تهيج الحلق.
- من المهم الابتعاد عن التدخين و الادخنة.
ملخص الفرق بين التهاب الحلق البكتيري والفيروسي
يكمن الفرق بين كلا من الالتهابات في ان التهاب الحلق البكتيري ناتج عن الاصابة بالبكتيريا تصيب الحلق و تتميز ببقع بيضاء في الحلق مع مواجهة صعوبة في البلع و تحتاج مضادات حيوية للعلاج ، بينما التهاب الحلق الفيروسي ناتج عن اصابة الحلق بفيروسات كنزلات البرد و الانفلونزا و لكي يتم التفرقة بينهم اليك بعض الاسباب و الاعراض و العلاج :
التهاب الحلق البكتيري
- اعراضة تكمن في ظهور بقع بيضاء أو صديد في الحلق - ارتفاع في درجة الحرارة - قئ و غثيان.
- سببه ناتج عن البكتيريا.
- علاجة يكون من خلال استعمال ادوية المضادات الحيوية التي تحتوي على البنسلين أو الاموكسيسيلين.
التهاب الحلق الفيروسي
- اعراضة تشبه نزلات البرد و تكمن في السعال و سيلان الانف و العطس و في الغالب يظهر لبضعة ايام ثم يختفي.
- سبببه يكون ناتج عن الاصابة بفيروسات.
- علاجة يكون بالادوية المسكنة و الادوية الخافضة للحرارة فانه لا يستجيب للمضادات الحيوية.